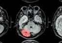
La Société algérienne de Rythmologie lancera, sous l’égide de la Faculté de médecine (Alger), une formation sur stimulation cardiaque avant fin de l’année en cours, a indiqué, vendredi à Oran, le prés..
Le ministre de l'Industrie pharmaceutique, Ali Aoun, a indiqué, jeudi à Alger, que toutes les mesures nécessaires ont été prises pour résoudre le problème de certains médicaments importés qui conn..
Pour assurer la continuité du suivi psychologique, le personnel soignant a adapté ses méthodes. Si votre enfant consulte ou souhaite consulter, c'est possible en période de confinement.
Les phobies et l'anxiété se traitent par psychothérapie. Des chercheurs ont montré que le cortisol, une hormone potentialise les effets de cette thérapie. Or il est plus élevé dans le cor..
Suivre une psychothérapie serait efficace pour calmer le syndrome de l'intestin irritable (SII) sur le long ter..
Anxiété, stress, phobie, manque de confiance en soi... autant de symptômes qui peuvent être vaincus par une psychothérapie. Mais pas facile de s'y retrouver dans la jungle psy. On vous aide à y voir plus clair !
Cinq (5) nouveaux cas confirmés de coronavirus (Covid-19) ont été enregistrés et aucun décès n'a été déploré ces dernières 24 heures en Algérie, a indiqué mercredi le ministère de la Santé dans un comm..
Le ministre de l’Industrie pharmaceutique, Ali Aoun, a reçu mardi à Alger, l'ambassadeur du Royaume de Suède en Algérie, Bjorn Haggmark, accompagné d’une délégation des laboratoires "Astra Zeneca", a indiqué un communiqué du ministère.
Le Président de la République, Abdelaziz Bouteflika, a reçu hier le Premier ministre français, Jean-Marc Ayrault, en visite officielle en Algérie. L'audience s'est déroulée en présence du Premier ministre, Abdelmalek Sellal. Lors de cette audience...
LIRE LA SUITEGrâce à des efforts inlassablement consentis et à une efficacité fièrement retrouvée, la diplomatie algérienne, sous l’impulsion de celui qui fut son artisan principal, en l’occurrence le président de la République Abdelaziz Bouteflika, occupe aujour
La loi de finances 2016 n’est pas austère. Contrairement à ce qui a été pronostiqué par ‘’les experts’’, le dernier Conseil des ministres, présidé par le Président Bouteflika, a adopté en réalité une loi de finances qui prend en compte autant le ress
C'est dans le contexte d'un large mouvement de réformes sécuritaires et politiques, lancé en 2011, avec la levée de l'état d'urgence et la mise en chantier de plusieurs lois à portée politique, que ce processus sera couronné prochainement par le proj
La solidité des institutions algériennes, la valorisation des acquis sociaux et leur développement, tels ont été les grands messages livrés hier lundi à Bechar par le ministre de l'Intérieur et des Collectivités locales Nouredine Bédoui.
Le gouvernement ne semble pas connaître de répit en cette période estivale. Les ministres sont tous sur le terrain pour préparer la rentrée sociale qui interviendra début septembre prochain.
Dans un contexte géopolitique régional et international marqué par des bouleversements de toutes sortes et des défis multiples, la consolidation du front interne s'impose comme unique voie pour faire face à toutes les menaces internes..
Après le Sud, le premier ministre Abdelmalek Sellal met le cap sur l'Ouest du pays où il est attendu aujourd'hui dans les wilayas d'Oran et de Mascara pour une visite de travail et d'inspection.