Pour combattre l'excès de cholestérol, l'essentiel, c'est de rééquilibrer les graisses, ce qui rééquilibre aussi le rapport entre LDL (mauvais cholestérol) et HDL (bon cholestérol) cholestérol. Décou..
Il n'est jamais trop tard pour se mettre au sport intensif et profiter de ses bénéfices. Une équipe de chercheurs du laboratoire de traitement du signal et de l'image de Rennes (unité Inse..
Un programme sportif varié est plus efficace sur la perte de poids qu'une pratique intensive selon une nouvelle étude scientifique américaine publiée dans le Journal of Applied Physiology.
Deux (02) nouveaux cas confirmés de coronavirus (Covid-19) et deux (02) cas guéris ont été enregistrés, alors qu'aucun cas de décès n'a été déploré, ces dernières 24 heures en Algérie, a indiqué lundi le mini..
Cent-quarante-sept (147) exposants prendront part à la 24e édition du Salon International du mobilier hospitalier et de l’équipement médical (SIMEM), qui se tiendra au Centre des conv..
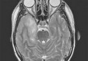
Une caravane médico-chirurgicale nationale destinée aux enfants atteints d’infirmité cérébrale est arrivée samedi à l’établissement public hospitalier Meslem Tayeb de Mascara.
Un projet de réhabilitation et de modernisation des services des urgences médicochirurgicales (UMC) de trois structures hospitalières dans la wilaya de Bechar sera lancé prochainement, a-t-on app..
Le ministre de l’Industrie pharmaceutique, Abderrahamane Djamel Lotfi Benbahmed, a reçu une délégation des laboratoires chinois Sinovac, conduite par sa présidente directrice gén..
Le Président de la République, Abdelaziz Bouteflika, a reçu hier le Premier ministre français, Jean-Marc Ayrault, en visite officielle en Algérie. L'audience s'est déroulée en présence du Premier ministre, Abdelmalek Sellal. Lors de cette audience...
LIRE LA SUITEGrâce à des efforts inlassablement consentis et à une efficacité fièrement retrouvée, la diplomatie algérienne, sous l’impulsion de celui qui fut son artisan principal, en l’occurrence le président de la République Abdelaziz Bouteflika, occupe aujour
La loi de finances 2016 n’est pas austère. Contrairement à ce qui a été pronostiqué par ‘’les experts’’, le dernier Conseil des ministres, présidé par le Président Bouteflika, a adopté en réalité une loi de finances qui prend en compte autant le ress
C'est dans le contexte d'un large mouvement de réformes sécuritaires et politiques, lancé en 2011, avec la levée de l'état d'urgence et la mise en chantier de plusieurs lois à portée politique, que ce processus sera couronné prochainement par le proj
La solidité des institutions algériennes, la valorisation des acquis sociaux et leur développement, tels ont été les grands messages livrés hier lundi à Bechar par le ministre de l'Intérieur et des Collectivités locales Nouredine Bédoui.
Le gouvernement ne semble pas connaître de répit en cette période estivale. Les ministres sont tous sur le terrain pour préparer la rentrée sociale qui interviendra début septembre prochain.
Dans un contexte géopolitique régional et international marqué par des bouleversements de toutes sortes et des défis multiples, la consolidation du front interne s'impose comme unique voie pour faire face à toutes les menaces internes..
Après le Sud, le premier ministre Abdelmalek Sellal met le cap sur l'Ouest du pays où il est attendu aujourd'hui dans les wilayas d'Oran et de Mascara pour une visite de travail et d'inspection.